Your First Visit
Are your teeth important to you? At Refresh Smiles Dental, they are important to us too!
General Dentistry
Refresh Smiles Dental offers patients the opportunity to restore their smile and enhance functionality.
Cosmetic Dentistry
Refresh Smiles Dental can help patients get the smile of their dreams. Whitening, veneers or a full smile makeover.
Sedation
At Refresh Smiles Dental we have engaged an Anaesthetist to provide IV sedation for patients seeking out this service.
Wisdom Teeth Removal
Our dentists are able to determine whether your wisdom teeth are likely to cause problems for you.
Overview
Ideally we would like to see all our patients only for a check-up, scale and clean, polish and fluoride treatment. However, we all have tendencies to eat things we should not, or have complicated health problems such as detected or undetected snoring, grinding or clenching issues, which cause our teeth to become problematic. From our initial examination you will quickly realise how thorough we are!
From a comprehensive examination to complex treatment such as orthodontics and dental implants, we are here to help you as best as possible. Here is the list of treatments we provide:
- Preventative Dentistry
- General Dentistry
- Orofacial Orthopaedics and Orthodontics (Facial Development and Teeth Straightening)
- Emergency Dentistry
- Smile Rejuvenation / Cosmetic Dentistry
- Missing Teeth Replacement
- Dental Implants
- Gum Disease Management and Treatment
- Children’s Dentistry
- Crowns and Bridges
- Root Canal Therapy
- Snoring and Sleep Apnoea Management
- Tooth Extractions
- Wisdom Tooth Surgical Extractions
- Happy Gas for the Anxious Patient
- IV Sedation
Your First Visit
Traditionally, a visit to a new dentist may be terrifying. However here at Refresh Smiles Dental, we strive to ensure that your first visit with us is both pleasant and stress free!
We guarantee that this environment begins the moment you walk into
our dental clinic. We provide a welcoming and relaxing atmosphere to ensure your dental experience is both positive and beyond compare.
Your first visit to us is 100% diagnostic. What does this really mean?
100% diagnostic means that no specific treatments are carried out in your first visit. Your first appointment will include all necessary diagnostic tests, records and examinations as required. This enables us to get a complete and comprehensive picture of you, your mouth and your health. This first visit will also involve the development of a treatment plan that is aimed to ensure that you, your family and our team have a clear understanding of the treatment needed.
Children’s Dentistry
Do you want your child to have a smile that lasts a lifetime?
Refresh Smiles Dental
believes in starting excellent oral health care early in a patient’s life. For this reason we offer children’s dentistry treatments to ensure your child has the best chance for a lifetime of healthy smiles.
Your child’s visit is as special to us as yours and together we can make sure he/she grows up with strong, healthy teeth and keeps them that way.
We believe that prevention is better than a cure so:
- We aim to educate children on the best ways to care for their teeth
- While communicating with them in a way that they can understand
We aim to be a partner in your child’s oral health and hope to establish a long-lasting relationship with your child, based on trust, mutual respect and compassion.
Children grow and develop quickly at a young age. However, how a child grows dictates how they will develop later in life. It is well-documented that the early years in a persons life are the most important and the same applies for their oral health.
Adult teeth start developing from birth and continue to do so until 16 years of age. Dental infections or trauma experienced during childhood may affect developing adult teeth causing problems such as:
- Poor quality tooth structure
- Weak teeth
- Missing teeth
- Atypical coloured teeth
- Atypical shaped teeth
- Crooked teeth
While these problems do not seem significant, they do affect a child’s self-confidence, self-esteem, ability to eat, ability to thrive, and hence ability to develop and grow.
Unfortunately, dentists in general are still focused on just the teeth. However the mouth is part of a bigger system – the human body. Children in particular need to be seen by a dentist or paediatric specialist who have a background and understanding in growth and development; interaction of the airway, breathing and posture to the rest of the body; and, paediatric health and nutrition, while taking a holistic approach from a dental viewpoint.
Without taking these factors into consideration, your child may develop problems with posture, jaw discrepancies, or crowding, which, if not corrected early, will require complex treatment such as surgery or complicated orthodontic treatment.
At the Refresh Smiles Dental, we are more than qualified to understand and manage your child’s needs and also work with other dental and medical specialists as needed.
Contact Refresh Smiles Dental to improve your child’s dental and facial development today. If your child has never been to the dentist before, contact us to organise a free tour of the surgery and request an information pack.
Child Dental Benefits Schedule 2014 Introduction
The Child Dental Benefits Schedule (CDBS) commenced on the 1st January 2014 and will provide access to benefits for basic dental services to around 3.4 million children aged 2-17 years. It will replace the existing Medicare Teen Dental Plan (MTDP).
The total benefit entitlement will be capped at $1,000 per child over a two calendar year period. The CDBS will have a means test, which requires receipt of Family Tax Benefit Part A (FTB-A) or a relevant Australian Government payment.
The CDBS will provide individual benefits for a range of services including examinations, x-rays, cleaning, fissure sealing, fillings, root canals and extractions. Benefits will not be available for orthodontic or cosmetic dental work and will not be paid for any services provided in a hospital.
General Dentistry
Dental Restoration
A dental restoration
or dental filling
is a dental restorative material used to restore the function, integrity and morphology of missing tooth structure. The structural loss typically results from caries or external trauma. It is also lost intentionally during tooth preparation to improve the aesthetics or the physical integrity of the intended restorative material.
At Refresh Smiles Dental we use materials called composite resin. This is traditionally known as the “white fillings”. We are an exclusively amalgam (silver fillings) free practice.
One of the main disadvantages with composite resin however is strength. If a tooth has lost more than 50%, it is advisable to look at better materials like gold or ceramics onlays/crowns.
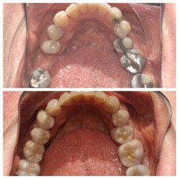
Dental Crowns
Refresh Smiles Dental offers patients the opportunity to restore their smile and enhance functionality with custom-made dental crowns.
Dental crowns (also sometimes referred to as ‘dental caps’ or ‘tooth caps’) cover over and encase the tooth on which they are cemented. Dentists use crowns when rebuilding broken or decayed teeth, as a way to strengthen teeth and as a method to improve the cosmetic appearance of a tooth. Crowns are custom made in a dental laboratory by a dental technician.
Dental crowns are often required when a tooth has been severely weakened and is no longer structurally sound. This can be as a result of trauma, tooth decay, previous root canal therapy or even general wear over time. This dental treatment can also be used to brighten and improve the appearance of your smile by covering broken, chipped, stained or discoloured teeth or by modifying the shape of a tooth. Dental crowns are custom-made for each individual patient and can be matched to existing teeth making them a favourable cosmetic dental treatment option.
Bridges
Dental bridges literally bridge the gap created by one or more missing teeth.
A bridge is made up of two crowns for the teeth on either side of the gap — these two anchoring teeth are called abutment teeth — and a false tooth/teeth in between. These false teeth are called pontics and can be made from gold, alloys, porcelain, or a combination of these materials. Dental bridges are supported by natural teeth or implants.
What Are the Benefits of Dental Bridges?
Bridges can:
- Restore your smile
- Restore the ability to properly chew and speak
- Maintain the shape of your face
- Distribute the forces in your bite properly by replacing missing teeth
- Prevent remaining teeth from drifting out of position
Root Canal Treatment
Root canal or endodontic treatment is a process whereby inflamed or dead pulp is removed from the inside of the tooth, enabling a tooth that was causing pain to be retained.
Dental pulp is the soft tissue in the canal that runs through the centre of a tooth. Once a tooth is fully formed, it can function normally without its pulp and be kept indefinitely.
After removing the pulp, the root canals are cleaned, sterilised and shaped to a form that can be completely sealed with a filling material to prevent further infection. The treatment can take several appointments, depending on how complex the tooth is, and how long the infection takes to clear.
Subsequently, a crown or complex restoration to restore or protect the tooth may be a necessary recommendation, as a tooth after undergoing treatment may be more likely to fracture.
Tooth Extraction
While tooth extraction is not usually the first option for treating dental disorders, sometimes a tooth may need to be removed.
Why would I need a tooth extraction?
Some of the reasons why a tooth may need to be extracted include
- Significant decay or damage to the tooth
- Gum disease
- To improve appearance, such as with orthodontic treatment
- Extensive tooth cracks
- Poor positioning or functionality
- Wisdom teeth
- Tooth extraction can be completed in the Dental chair using local anaesthetic. Your Dentist will discuss the best treatment options for you.
Once a tooth has been removed, your Dentist will provide you with the treatment options available for replacing the lost tooth. This may include options such as implants, fixed bridges or dentures.
The cost of having a tooth extracted or removed varies depending on the tooth and the complexity of the extraction procedure. Your Dentist will provide you with a treatment plan outlining the cost of the treatment prior to treatment.
Any surgical or invasive procedure carries risks. Before proceeding, you should seek a second opinion from an appropriately qualified health practitioner.
Wisdom TeethRemoval
Wisdom teeth are the molars found at the very back of your mouth and generally erupt in your late teenage years or your early 20’s. Usually you have four wisdom teeth, two in the lower jaw and two in the upper jaw. However, sometimes people can have fewer, more or none. Wisdom teeth can sometimes cause issues that promote pain and discomfort, with one of these being the accumulation of food and bacteria surrounding the wisdom teeth, which results in tooth decay and gum infections. Another problem associated with wisdom teeth is impaction which results from the tooth erupting at an angle that either pushes into the gum, other teeth or the cheek. Although sometimes not painful, this can lead to a range of long term effects, including decay and gum disease in nearby teeth.
Therefore through the use of x-rays, our dentists are able to determine whether your wisdom teeth are likely to cause problems for you. In the case that they are likely to result or have resulted in one of the aforementioned complications, the best solution may be to have them surgically removed whilst using local anaesthesia. To help avoid future complications, it is sometimes best to have your wisdom teeth removed early rather than later.
Any surgical or invasive procedure carries risks. Before proceeding, you should seek a second opinion from an appropriately qualified health practitioner.
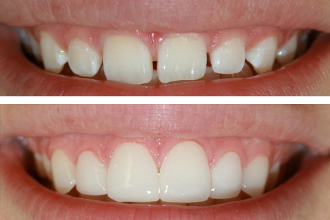
Cosmetic Dentistry
Cosmetic Dentistry refers to dental treatments that improve the appearance of a patient’s teeth, gums, bite or smile. There a number of treatments which can enhance appearance but not all treatments are best suited to all patients. Our Dentists will be able to advise the most suitable options based on your current concerns, desired outcomes and budget.
Our Dentists at Refresh Smiles Dental may recommend one or more of the following dental treatments if you are looking to improve your teeth and smile.
Types of cosmetic dentistry procedures:
Emergency Dental
We understand that patients who are genuinely in a dental emergency need priority attention. That’s why we try to keep space available in the appointment books every day for patients requiring an emergency dentist. If you are in need of an emergency appointment, for trauma, facial swellings, and sharp or dull throbbing pain, please contact us.
Refresh Smiles Dental is open from 8am on week days, with late appointments available on Monday and Wednesday evenings, which makes it easier for patients requiring emergency treatment to get an appointment when they need one.
If you or a family member is in dental pain or in need of an emergency Dentist, contact Refresh Smiles Dental for an urgent appointment.
Any surgical or invasive procedure carries risks. Before proceeding, you should seek a second opinion from an appropriately qualified health practitioner.
What Is Preventive Dentistry?
Preventive dentistry is the practice of caring for one’s teeth to keep them healthy. This helps to avoid cavities, gum disease, enamel wear, and more.
There are many forms of preventive dentistry, such as daily brushing and annual dental cleanings. These practices are designed to ensure that teeth are clean, strong, and white. Children should be taught proper oral hygiene at an early age.
Daily flossing is also recommended. Flossing helps to clean out the tight spaces between the teeth. People with braces may need to use floss threaders to get between the metal brackets.
Bi-annual dental cleanings and exams allow dentists to identify problems and take care of them right away.
People should see their dentists at least twice a year for an exam to check for any problems in the teeth or gums and remove any harmful bacteria (tartar/calculus) that accumulate over that period of time.
Eating a balanced diet also helps to protect the teeth by providing them with the nutrients they need.

IV (Intravenous) Sedation
Intravenous Conscious Sedation (aka “IV sedation”) is when a drug, usually of the antianxiety variety, is administered into the blood system during dental treatment.
If you have a chronic fear of dentists or dental treatment, IV sedation is an option available for you. This form of sedation enables dental treatment to be completed whilst you are in a relaxed state. It is commonly used on patients who have a fear or phobia of receiving dental treatment. This fear can develop due to many reasons, with some being:
- Fear of pain
- Extremely sensitive teeth
- History of traumatic dental experiences
- Complex dental problems
Through failing to attend a dentist due to an ongoing fear or phobia of receiving dental treatment, patients may choose to avoid attending the dentist, therefore potentially cause further tooth decay and damage.
At Refresh Smiles Dental we liaise and engage with an Anaesthetist to provide IV Sedation to patients requiring this service. Our dentists only provide the dental treatment specified within your treatment plan, whereas the Anaesthetist provides all IV Sedation services.
Inhalation Sedation (Happy Gas) for Dental Procedures
Inhalation Sedation is a gas, commonly known as ‘happy gas’ or ‘laughing gas’. Giving inhalation sedation is a way to help reduce an individual’s pain and anxiety during dental treatment. Individuals will breathe the gas through a small nosepiece that sits on their nose. Recovery occurs very quickly after the effects of the gas and oxygen levels are returned back to normal.
What to expect
Inhalation sedation is done in the dental chair. Individuals will breathe the sedation gas through a small nosepiece that sits on their nose. It does not cover their mouth.
- The Inhalation Gas makes individuals feel sleepy and relaxed.
- Patients will still be aware of what is happening around them but will feel more relaxed, dreamy and floaty, warm, have tingling in their hands and feet and may be a bit forgetful. They may not be able to remember the procedure.
- While giving the Happy Gas, staff will monitor patient’s level of sedation to ensure that they can still cooperate and hold their mouth open.
- Dental treatment will be done in the usual manner. Local anaesthesia may also be used and can be given when the patient is sedated.













